コンタクト処方について Contact-Lens Prescription

コンタクトレンズは高度管理医療機器(心臓ペースメーカーと同じランク)です。
使い方を誤れば失明につながる恐れもあります。
必ず眼科での検査を受けて作成し、正しく使用しましょう。
★ 指示書期限
コンタクトレンズ→発行日より1年間

初めてコンタクトを使用される方

コンタクトレンズはあなたの大切な目に直接装着するものです。
使い方によっては目を傷つけてしまう可能性がありますので、当院では、付け方、外し方の練習も行っております。
当院では様々な種類のコンタクトレンズをご用意しておりますので、あなたにあったレンズを選ぶお手伝いもいたします。
そのため、お時間に余裕をもってご来院くださいますようお願い申し上げます。
最初は不安なことも多いと思いますので、お気軽にご相談ください。
コンタクトレンズとの上手な付き合い方をお教えいたします。

処方の流れ(一例) Prescription Flow

1. 現在の状況やご希望の確認

コンタクトレンズを使用する予定の日常行動(スポーツやデスクワークなど)や、アレルギーの有無などを確認いたします。

患者様のライフスタイルに最適なコンタクトレンズをご案内いたしますが、メーカーや商品のご希望がありましたらお気軽にご相談ください。

2. 視力検査

近視・遠視・乱視などの状態を確認します。
近視
遠くのものがぼやけて見える状態
遠視
遠くも近くもぼやける状態
乱視
文字やものがブレて見える状態
すでに眼鏡やコンタクトレンズをご利用の場合はお知らせください。
裸眼の状態と、眼鏡など装着した状態の両方で視力を確認いたします。

3. 診察

精密機器を使用し、さらに詳しく目の状態を見ていきます。

※傷や濁りなど、目に問題がある状態でのコンタクトレンズ利用は大変危険です。

4. つけ外しの練習・見え方チェック

使用予定のコンタクトレンズを使って、つけ外しの練習を行います。

当院ではトライアルレンズを各種準備しております。
一人でつけ外しできるようになるまでしっかり練習しましょう。

コンタクトの種類と特徴 Types and Features

当院では、視力やライフスタイルが変化しても安心してコンタクトレンズをお使いいただけるように、サポートの充実したメルスプランのレンズも取り扱っております。

ソフトレンズとハードレンズの違い

ソフトレンズ

ソフトレンズの交換時期は従来タイプだと1年前後。
使い捨てタイプは・1日・2週間・1ヵ月ごとに新しいコンタクトレンズに交換しながら使用します。

メリット
はじめてのコンタクトレンズでも、慣れやすい
スポーツの時に使っても外れにくい

ハードレンズ

ハードレンズの交換時期は2年前後が目安です。

メリット
乱視矯正に優れたコンタクトレンズ
涙交換がスムーズのため、目の酸素供給がよりうまくできます
※ 3ヶ月ごとに定期交換できる衛生的なレンズも取り扱いしています

使い捨てコンタクトレンズの種類・特徴

1日使い捨てソフトレンズ

毎日新品レンズに交換
お手入れの必要がない
使いたいときに使える
一度はずすと再使用できない

2周間/1ヶ月交換ソフトレンズ

1日使い捨でソフトレンズより経済的
※ 専用のケア用品でお手入れが必要

ケア用品について Care Products

ソフトレンズのケア方法

コンタクトレンズは装着しているうちに、タンパク質、脂質、カルシウムなどの涙液分泌や化粧品などの汚れがレンズに付着してしまいます。
これらの汚れをそのままにしておくと、「かすみやくもりで見えにくくなる」「装着感が悪くなる」「眼障害をおこす」などの原因となってしまいます。
ここでは、それぞれのレンズに適したケア方法をご紹介します。
化粧品汚れ
化粧品汚れ
破損
破損
不適切な使用によるアメーバ感染
不適切な使用によるアメーバ感染

■ コンタクトレンズを取り扱う前に

コンタクトレンズを取り扱う前には、必ず石鹸などで手を洗い、よくすすいでください。
使用後の専用ケースは空にして、洗浄液でよく洗った後自然乾燥してください。
コンタクトレンズは高度管理医療機器です。眼科医に指示された装用期間・時間内で安全に使用してください。

ソフトレンズは汚れ以外に、レンズの性質上、雑菌やカビなどが繁殖する可能性があります。そのため、洗浄・消毒ケアを行う必要があります。

過酸化水素タイプ

過酸化水素の力によって洗浄・消毒を行うため、熱によるレンズの劣化がありません。
また、高い消毒効果が期待できます。
手荒れなどが気になる方、レンズを破損させやすい方にお勧めです。

MPS(マルチパーパスソリューション)

レンズの洗浄・消毒・保存が1本で簡単に行えます。
こすり洗いにより洗浄と除菌を行い、レンズ保存中に残存した雑菌を消毒します。
MPS画像
レンズを瞳から外し手のひらに載せ、洗浄液をつけてレンズの両面を各々20から30回指で軽くこすりながら洗います
MPS画像
洗ったレンズの両面を洗浄液でよくすすぎます。こすり洗いとすすぎは必ず正しく行ってください。汚れや細菌等を除去します
MPS画像
専用ケースに洗浄剤を満たし、その中にレンズを完全に浸し、ケースのふたをしっかり閉めます。そのまま4時間以上放置して消毒は完了です。レンズは、すすがずにそのまま装用できます。
※ レンズを取り扱う前には、必ず石鹸などで手を洗い、よくすすいでください。
※ 使用後の専用ケースは空にして、洗浄液でよく洗った後自然乾燥してください。

物が見えるしくみ・屈折異常 Vision Works

そもそも、どうして物が見えるの?

正視とは

正視とは
外から目に入ってきた光が網膜上に像を結ぶ目のことで、屈折異常はありません。

近視とは

近視とは
外から目に入ってきた光が網膜より手前で像を結ぶ目のことで、遠いところが見えにくくなります。

遠視とは

遠視とは
外から目に入ってきた光が網膜より後方で像を結ぶ目のことです。遠くも近くも調節が必要なため疲れやすく、見え方だけでは自分で気づきにくいので、眼科でチェックしましょう。

乱視とは

乱視とは
方向によって焦点位置が異なるため、網膜上に正しく像を結べず、物が二重に見えたりします。

眼精疲労・老視 Eye Strain & Presbyopia

老視とは?

年齢とともに調節力※が低下して、近くのものが見えにくくなること。

※ 調節力=ピントを合わせる力

眼精疲労とは?

目を酷使する生活で疲労がたまり、目のかすみや頭痛、肩こり等の症状が起きること

調節力のピークは10歳といわれています。
当院では眼精疲労軽減の観点からも遠近両用コンタクトレンズの処方を行っております。

遠近両用コンタクトレンズ Multifocal

こんな心当たりありませんか?
携帯の文字が見えづらい
目線を移した時に
ピントが合いにくい
頭痛や肩こりを
感じることが増えた

遠近両用コンタクトレンズデビュー
しませんか?

遠近両用眼鏡の構造

遠近両用眼鏡の構造

年齢とともに調節力※が低下して、近くのものが見えにくくなること。

※ レンズの種類によりレンズの構造は異なります。

遠近両用ソフトレンズの構造

レンズの構造(一例)
遠近両用ソフトレンズの構造

目線に合わせてレンズが動くので自然とピントが合います。

遠近両用コンタクトレンズは脳の仕組みを利用して見たいものにピントを合わせるため、メガネのように目線を切り替える必要はありません。

※ ハードコンタクトレンズはデザイン・仕様が異なります。
実際に症状を感じやすいのは40歳前後からですが、最近では、スマートフォンやPCを長時間使用することで目の疲れや近くのものの見えにくさがある「スマホ老眼」の方も年齢に関係なく増えています。
当院では実際に装着し見え方の確認を行うことができますのでぜひご相談ください。

定期検査について Eye Examinations

■ コンタクトレンズの定期検査を受けましょう

コンタクトレンズは眼科医の処方と指示に基づき正しく使用してください。

こんな症状ありませんか?

  • レンズをつけると違和感がある
  • 目が乾燥して調子が悪い
  • 目やにがでる
  • 特にサークルレンズを装用する時に黒目からズレてしまうのが気になる
目の病気

間違えた使い方をしていると
目の病気になってしまうことも…

異常を放っておくと…

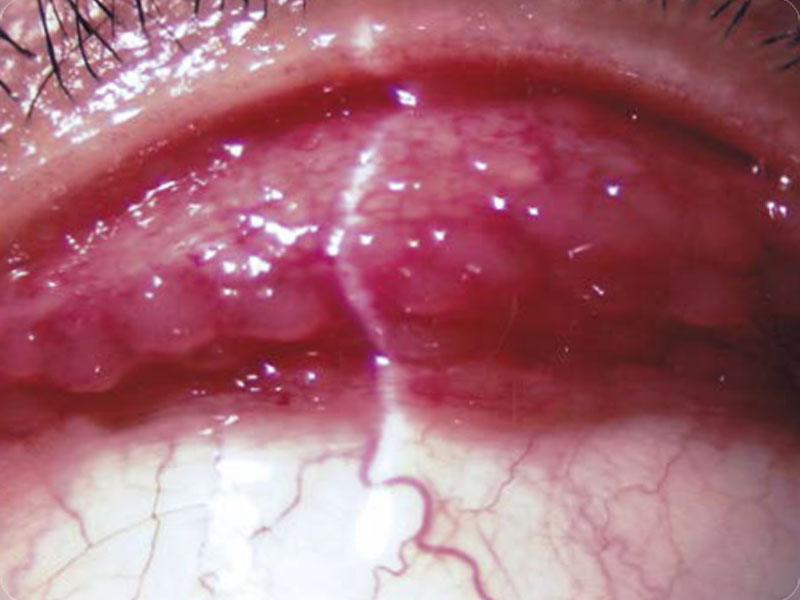
装用時間が長すぎて角膜に負担が生じたり、レンズの汚れで傷がついたりする事があります。
また、レンズの汚れによるアレルギー反応で上まぶた裏側の結膜が充血して炎症が起こるとレンズがズレたりすることも…

※巨大乳頭性結膜炎

巨大乳頭性結膜炎

■ コンタクトレンズの定期検査を受けましょう

コンタクトレンズは高度管理医療機器(心臓ペースメーカーと同じランク)です。
コンタクトレンズは使い方を誤れば失明につながる恐れもあります。
自覚症状が無くても必ず定期査を受けましょう
- 特に使い捨てやソフトコンタクトレンズは装用感がよく、目の障害があっても自分では気づかない事も多いので、定期的な検査が必要です

定期検査のサイクル
〜下記のスケジュールで定期検査を必ず受けてください〜

  1. 装用開始
  2. 1週間後
  3. 1ヶ月後
  4. 3ヶ月後
  5. 以降3ヶ月毎
  1. 装用開始
  2. 1週間後
  3. 1ヶ月後
  4. 3ヶ月後
  5. 以降3ヶ月毎

目の痛み、不快感、充血、ぼやけなど、少しでも異常を感じたら、すぐにコンタクトレンズをはずし、眼科で検査を受けてください。

コンタクトレンズは何十年も付き合っていくことになるでしょう。

長年お使いいただいているうちに、扱いが雑になってしまうことはあると思います。
しかしそれは、目にとって大変危険なことです。
定期的な検査を行うということは、現在、異常がないかを調べるだけではなく、改めて正しい使い方を確認していただく場となります。

患者さまの大切な目を長くより良い状態を保つために、当院は定期的な検査をすることを強くおすすめいたします